Обзор функции УЗИ: адаптивный колорайзинг

Дата публикации: 17.08.2020

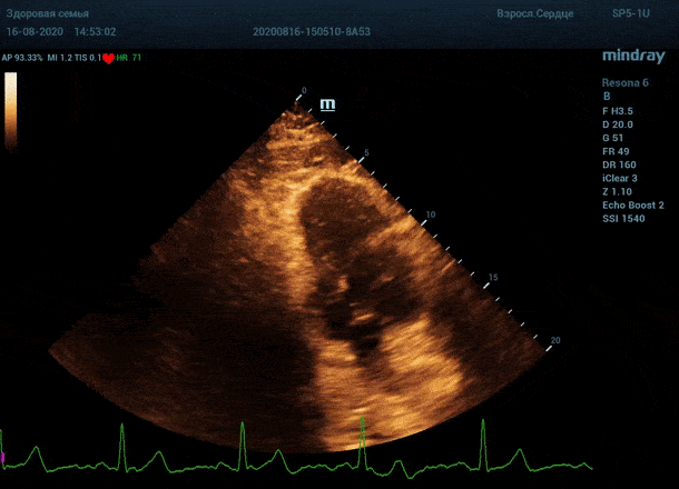
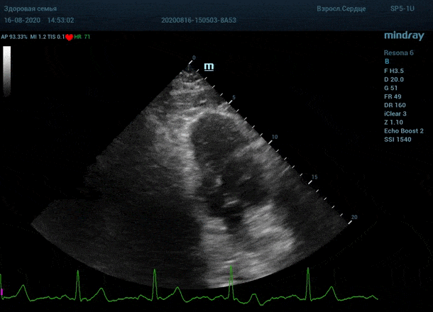
"Трудные пациенты" в эхокардиографии - явление не редкое. Часто встречается деформация грудной клетки или же площадь поверхности тела очень большая. Проблема акустического окна решается сменой положения тела пациента, снижением частот, изменением динамического диапазона и применением уникальных технологий производителя оборудования. Когда возможности ультразвуковой машины по оптимизации изображения исчерпаны, на помощь приходит оптимизация органа зрения.
 
Глаз каждого человека по своей природе уникален. Одни люди лучше видят белый и серый цвет, прекрасно различают все его оттенки. Другим людям проще ориентироваться в голубом, синем и фиолетовом диапазоне, холодных тонах изображения. Однако большинство прекрасно видит оранжевый цвет, и очень четко отличает его от черного – анэхогенного пространства.
 
Адаптивный колорайзинг - настоящая находка для опытного врача ультразвуковой и функциональной диагностики. Для тренированного глаза открывается новый мир четких контуров, совершенно другой взгляд на привычные структуры сердца.
Данная функция присутствует в большинстве моделей Mindray, с возможностью эхокардиографического исследования. Ограниченное ЭХО окно можно победить разными путями.
Все статьи Следующая статья
Категории и бренды в статье