Работа над качеством сонограмм, полученных ультразвуковыми приборами, ведется не только над совершенствованием датчиков, но и программного обеспечения приборов. Технологии компании
Mindray не уступают своим конкурентам в этих вопросах. Упрощение настройки визуализации для врача ультразвуковой диагностики значительно ускоряет рабочий процесс и увеличивает пропускную способность кабинета ультразвуковой диагностики.
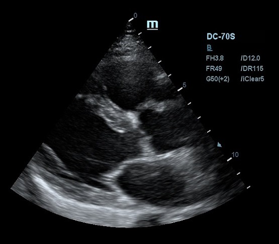
Благодаря постоянным инновациям, компания Mindray внедрила технологию iClear (адаптивная обработка изображений). Спекл - артефакт визуализации в виде акустического пятна - был препятствием для дифференциации структуры исследуемой ткани. iClear реализует агрессивное подавление спекл-паттернов, позволяя четко визуализировать анатомическую структуру на ультразвуковых изображениях. За счет уменьшения спекл-шума достигается лучшая дифференцировка тканей. Повышается контрастное разрешение без ущерба для пространственного разрешения. Уровень подавления спеклов можно выбрать под свои задачи, достаточно нажать кнопку или повернуть ручку, остальное сделает программный алгоритм.
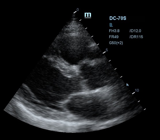
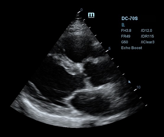
Другим важным нововведением в постобработке ультразвукового изображения является система EchoBoost. Ткани миокарда отражают различные по интенсивности ультразвуковые волны, и при обработке их одним потоком качество изображение оставляет желать лучшего. Технология EchoBoost позволяет прибору производить анализ эхо-сигналов разной интенсивности индивидуально, создавая затем четкую картинку.
Прибор также обрабатывает каждую область исследуемого региона отдельно, учитывая особенности распространения ультразвуковой волны. В связи с тем, что ультразвуковая система рассматривает низкоинтесивные колебания отдельно, имеется возможность усилить слабое эхо и отделить его от шума. Таким образом сонограмма становится более детальной и четкой, что очень критично в эхокардиографии.